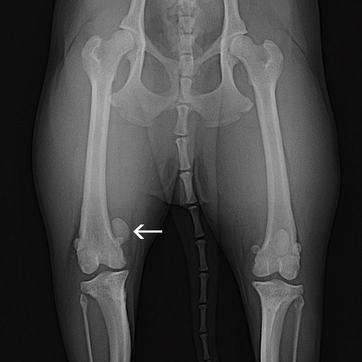
膝蓋骨脱臼
しつがいこつだっきゅう

膝蓋骨が正常の位置からずれてしまう病気です。

放っておくと症状が進み脱臼したままになり、歩行困難になることがあります。

診断は触診とレントゲン検査で行います。

・・・
矢印 内側にずれている膝蓋骨   正常な位置にある膝蓋骨



←戻る