|







- Copyright (C)2004
- Saito Dental Room.
- All Rights Reserved.
|
- お口の中の二つの大きな病気である「虫歯と歯周病」は本当は予防可能な病気
- です。我々は悪くなったところを削ってつめることを繰り返す歯科医療では
- なく、目に見えて悪くなる前に虫歯、歯周病の原因を取り除き、できるだけ健
- 康な歯を削ることなく、長くお口の健康を守る歯科医療を行います。
- 予防と言うと、「食べたら磨こう」「甘いものは控えめに」といった、おきま
- りのフレーズを思い浮かべるかと思います。またそのような指導を繰り返す歯
- 科医院もたくさんあります。しかし、それだけで本当に虫歯、歯周病が未然に
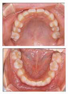
- 防げるのでしょうか。上の写真のような健康なお口を維持するためには今まで
- と違った観点で歯科診療を進める必要があります。虫歯も歯周病もその発症に
- 関しては非常に個人差の大きい疾患です。当院では、個人の虫歯歯周病の発症
- の危険性を詳しく調べその原因を取り除くことを第一に考えた診療を行います。
|
|