ペルテス病に対する骨盤骨切り(ソルター手術、3ヶ所骨切り術)・大腿骨骨切りの同時手術
ペルテス病に対する手術はいくつかありますが、基本は大腿骨骨切り術です。ただし、大腿骨骨切り術の欠点は大腿骨短縮が起こることです。一般的に8歳未満であれば様々な理由により数年の後に下肢長差は矯正されてきて困ることはないのですが、9歳を過ぎると下肢長差が残存してしまう場合があります。また、骨頭の壊死が広範囲な為内反角度を大きくせざるおえない場合には、、年少でいくら成長の余力があっても下肢長差が自然矯正しきれない場合があります。そこで、8-9歳以上の場合、或いは内反単独ではその内反角度を大きくせざるを得ない場合には骨盤骨切りをまず行ってある程度骨頭を覆い、その後に大腿骨骨切りを行う場合があります。骨盤骨切りをあらかじめおこなっておくと大腿骨を内反する角度を小さくすることが可能となり、それほど大きな短縮をおこなわなくて済むからです。

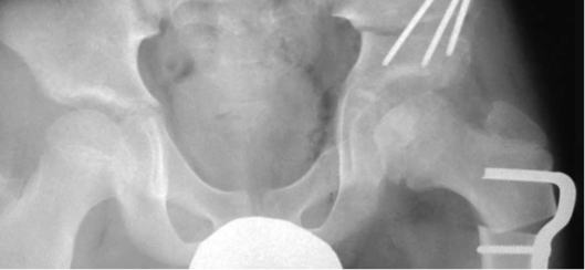
10歳男子の右ペルテス病。この年齢になると骨頭そのものが大きくなってくる。その為、内反骨切りだけで骨頭を臼蓋の中に入れようとすると内反角度が大きくなり、結果的に脚長差が著しくなってしまう。あらかじめ骨盤骨切りを行い、ある程度臼蓋で骨頭を覆っておくと、内反角度を小さく抑えることができる。
手術時間はソルター手術+大腿骨切リの場合約3.5時間、骨盤3ヶ所骨切り+大腿骨切りでは約4時間30分かかります。麻酔導入、ギブス巻きなどにさらに1時間30分必要です。


さすがに大腿骨と骨盤の両方の骨切りをおこなうわけですから、手術時間ならびに出血量は多くなります。それでも高年齢のお子様が対象ですので、この程度の出血であれば輸血は不要です。肥満があると出血量が多くなりますので、手術当日までにはできるだけ体重を減らすように努力してください。
術後の強い痛みは1−2日で和らぎ、1週以内には痛みはなくなります。今日では良く効く痛み止めがあり、患者さんにあった方法により痛みを緩和するようにしています。なお痛み止めを大量に使うことは副作用の点からも危険があり、完全に痛みを止めることはかえってよくないときもあるため、患者さんに応じた痛み止めの対応を行います。また、全身麻酔の影響で術後嘔吐、嘔気が続くことがありますが、次の日の朝頃には消失します。
手術合併症
1)出血によるショック:出血量は少ないのでこれまで経験しておりません。万が一合併症が発生したときは輸血を含めた救急対策、ならびにその原因の追求を早急におこないます。出血によりギブスが汚染されることがありますが、少量の汚染ならば問題にはなりません。
2)肺炎、尿路感染症:元気な子供であれば通常考えられません。全身状態が良く無い場合には可能性が高くなります。術後の体位変換を定期的に行って肺炎防止を行います。また必要に応じて抗生物質の投与を行います。
局所の合併症としては
1)骨癒合不全による関節変形:骨が脆い場合にピンの固定が不良の場合におこる可能性があります。また、不慮の事故(交通事故とかベットから転落する)の為に外力が加わってピンがはずれることがあります。変形が大きいと判断された場合には再度骨固定を行います。
2)手術側の大腿骨短縮:術後脚長差が出現しますが、ほとんどが2cm以内であり日常生活において通常は問題となることはありません。
3)大腿骨の股関節に近い部分の外側への突出:やせ形のお子さんでは目立つことがありますが、数年以内には目立たなくなります。
4) 創感染:水野病院ではまだ経験しておりません。全身状態が良く無い場合に起こりやすくなります。たとえ感染したとしてもあわてることはありません。骨癒合をまってから早めに金属を抜去すれば治癒してしまいます。
5) 褥そう:まれに見られますが、最終的には完全に治癒しております。これも全身状態が良く無い場合に起こりやすくなります。発生した場合には、局所の圧迫を防いで治癒に向かわせます。
7)骨盤の骨の手術操作の為に皮膚に分布する神経が麻痺し、大腿部前面のしびれ感が出現することがあります。回復するのに長期間(1年以上)かかる場合がありますが、小児で問題となることはありません。
8)骨盤変形が発生する為に、女子の場合、将来妊娠出産の時に帝王切開が必要となることがあるかもしれません。この手術を受けられた場合には、出産の時に産科医に申し出てください。
術後の予定
ギブス固定6週、その後訓練をおこない可動域か改善し、仮骨形成が充分となれば坐位とハイハイを許可(およそ術後8週たってから)、術後12週で全荷重します。
退院は術後1週以内(ギブスが乾けば退院)、第2回入院期間はギブス除去後2週以内(ROM回復し、ハイハイと坐位ができたら退院)、抜釘術後2-3ヶ月。抜釘後は問題がなければ13-16才になるまで、1年おきの診察です。遠方からの患者さんの場合には全荷重が可能になるまで入院可能ですが、その場合には御相談ください。
抜釘の場合には数日の入院です。