信愛歯科医院  
Topページ 矯正治療 インプラント 義 歯 ホワイトニング


診療のご案内
月・火

水・金




祭日
午前
AM 9:00

PM 1:00

午後
PM 2:30

   6:30

午前
AM 9:00

PM 1:00

午後
PM 2:00

   6:00


駐車場完備


MENU
  院長プロフィール
  診療理念
  根管治療(歯内療法)
  歯周治療
  矯正治療
  インプラント
  ・義歯(入れ歯)

  ホワイトニング

  アクセス
 

抜 か ず に 治 す 矯 正 治 療


歯並びや歯の形をきれいに整えることはもちろんのこと、それらをトータル的に治すことにより、心のケアにもなるものです。
当院では患者様ひとりひとりの状況を考慮しつつ、充分な説明やカウンセリングを行い、トータル的にコーディネートしていく治療を行っています。


 
治療例-1 治療例-2 治療例-3 治療例-4 治療例-5

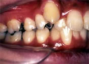
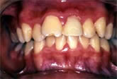
治療例-1
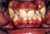
叢生(そうせい)・・・(歯並びが悪い)
    正面
治療前  
 
治療後  
ページのトップに戻る
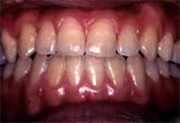
治療例-2 叢生(そうせい)    
    正面
治療前  
 
治療後  
ページのトップに戻る
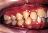
治療例-3 叢生(そうせい)    
 
正面
治療前
治療後
ページのトップに戻る
治療例-4 開咬(かいこう)・・・(前歯が咬みあわない)
正面
治療前  
 
治療後  
ページのトップに戻る
治療例-5 上顎前突
正面
治療前
治療後

   
   
               
 
      


第二の永久歯と呼ばれているもので、失われた歯の代わりに、人体にやさしいといわれるチタン製の人工歯根を顎の骨に埋め込み、天然歯に近い材料で歯を作る治療です。
この方法は入れ歯・ブリッジと比べて隣の歯を削ったり、負担をかけることがないため、残っている自分の歯の寿命を長くすることができます。

   
   

        
 


入れ歯とは、歯の無くなってしまった所に補う、 取り外しの出来るタイプのものをいいます。
しかし、入れ歯に慣れる方もいれば慣れない方もいます。 当院では金属を使わず、審美性がよく、「バネのない義歯」も ご用意しております。


   
   

     
 


美しいスマイルはキレイな白い歯から!
何でもお気軽にご相談ください!

   
    Copyright 2006〜 Digital-labo All rights reserved