当院について
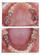
歯の治療技術や材料はどんどん進歩しています。しかし入れ歯になる人は減るどころか、むしろ増えています。今までは、削ってつめる、かぶせる治療が上手な歯医者が名医といわれていましたが、本当にそうでしょうか。どんなに上手に削ってかぶせてもそれは虫歯によってできた「穴を上手にふさいだ」だけであって虫歯という「病気の治療」をしたわけではありません。虫歯になった原因が解決されていませんから何年かすると再発し、また歯を削ることになります。そうして治療をくり返しながら、歯を失っていくのです。病気の原因を追求せずに体の一部を金属などの人工物に置き換えることを医療と言っているは歯科だけだと思いませんか?

10代
学校検診で虫歯を指摘され受診すると虫歯の原因は解決されないまま、ただ削って詰めます。

30代
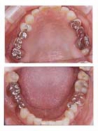
詰め物 がとれても痛くなければ受診せず、放置してしまいます。症状が出て受診すると、神経まで虫歯が進行し、神経を取ります。神経を取ると今度は痛みが出ないので悪くなっているのに気が付かず、症状が出た時には抜歯となってしまいます。

50代
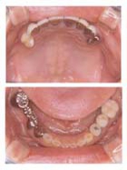
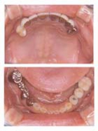
若いうちに治療した奥歯から順番に歯がなくなって行きます。一番奥の歯がなくなると、取り外し式の入れ歯になってしまいます。

60代
定年退職し、自分の時間が持てるようになって、美味しいものを食べに行きたくても入れ歯では、おいしく食べる事ができません。

3歳

10代

20代

30代
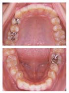
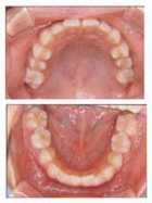
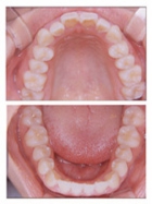
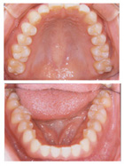
お口の中の二つの大きな病気である「虫歯と歯周病」は本当は予防可能な病気です。我々は悪くなったところを削ってつめることを繰り返す歯科医療ではなく、目に見えて悪くなる前に虫歯、歯周病の原因を取り除き、できるだけ健康な歯を削ることなく、長くお口の健康を守る歯科医療を行います。
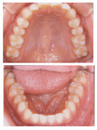
予防と言うと、「食べたら磨こう」「甘いものは控えめに」といった、おきまりのフレーズを思い浮かべるかと思います。またそのような指導を繰り返す歯科医院もたくさんあります。しかし、それだけで本当に虫歯、歯周病が未然に防げるのでしょうか。上の写真のような健康なお口を維持するためには今までと違った観点で歯科診療を進める必要があります。虫歯も歯周病もその発症に関しては非常に個人差の大きい疾患です。当院では、個人の虫歯歯周病の発症の危険性を詳しく調べその原因を取り除くことを第一に考えた診療を行います。
